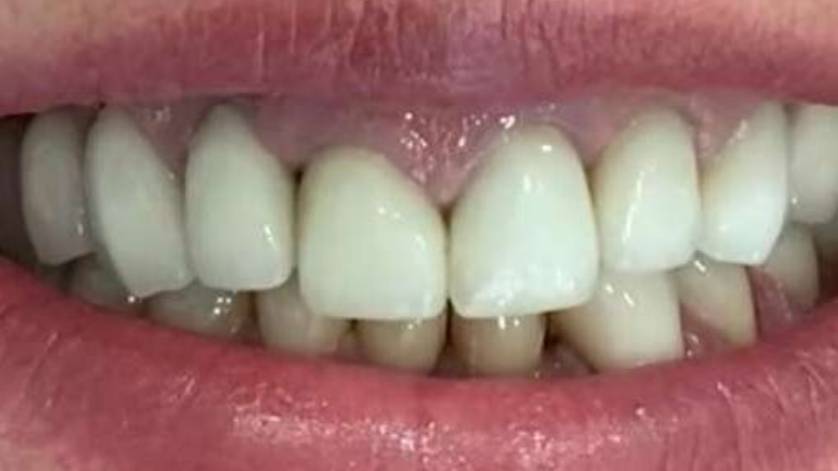
Presented are some clinical cases of the All-on-4 procedure with before and after photos. This procedure is intended for all those who have looked in the mirror one day and wished for a different and better smile. Are you not satisfied with your smile and are looking for solutions to improve the perception you have (and that others have) of you? The All-on-4 protocol may be the solution for you! As you can see, the difference is clear in the before and after photos of these clinical cases. Same Day Teeth is a technique for those with several missing or decaying teeth and usually refers to a complete new set of teeth screw retained on dental implants. This is an excellent option for those who already wear dentures or those who have lost teeth due to gum disease. Find out more with Algarve Dental Implants if this technique is the best solution for you.
